It's Topic Tuesday!
- siths375
- Jul 18, 2023
- 2 min read
Updated: Jun 22, 2025
Hello family and welcome back to topic Tuesday!
We hope you are enjoying our new imaging theme for this month and had plenty of time to read our ultrasound post. Here’s a little quiz to test yourself! There’s a special kind of ultrasound that lets you see the movement of blood through the body using red/dark shadows. What’s the name of this ultrasound? Comment your answers down below !
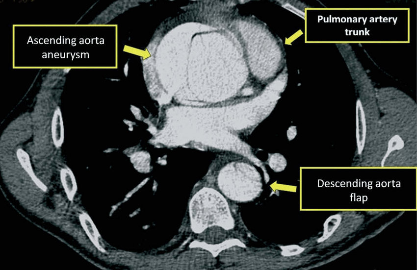
As promised, this week we are discussing another very popularly used imaging modality for diagnosing/monitoring aortic disease - computerized tomography, also known as CT! Here is a great summary article from Johns Hopkins University - https://www.hopkinsmedicine.org/health/treatment-tests-and-therapies/computed-tomography-ct-scan
A CT Scan uses similar technology to an X-ray to produce cross-sectional images of your body to guide doctors. They are much more detailed than regular X-rays and allow visualization of deep organs and structures, such as the heart and aorta.
Unlike regular X-ray which sends energy beams at one body part at a time, CT beams move around the body, allowing numerous views to be taken once before combining them into a series of 2D images to be seen on screen.

https://www.macmillan.org.uk/cancer-information-and-support/diagnostic-tests/ct-scan
One unique thing about CT scans is the ability to perform a test with and without contrast. Contrast is usually an iodine-based fluid that is taken by IV or mouth to allow a specific organ to appear more defined up on CT scan. This is very helpful in aortic dissections where contrast may help us distinguish between the true and false lumens (true is lighter due to contrast)!

https://radiogyan.com/articles/aortic-dissection/

Remember to always consult your doctor before undergoing a CT scan. Some risk factors for CT scan include but are not limited to:
Allergic reaction to the contrast dye
Acute kidney injury due to dye (especially common in patients with poor kidney function at baseline)
Radiation exposure
For patients who are undergoing CT with contrast, it is important to do proper prep, including fasting.
And that all for this week! We hope you are enjoying this new series and join us back next week. Enjoy your time with yours loved ones and until next time, remember to always Think Aorta.
- Adham










Comments